千葉県千葉市の加藤歯科・歯科医・歯医者では審美治療 ・メタルフリー治療・矯正治療 ・歯周病治療・インプラントの治療を行っております。
2017.2
皆さんお元気ですか?新年初のニュースレターです。
千葉市歯科医師会は日曜、祝日、お盆、年末年始に千葉市保健所(千葉みなと)で休日診療を
やっています。2〜3年に1回当番がくるんですけど、ここ数回は続けて正月休み中なんです。まあ、
交換は可能なんですけど、さすがに正月に代わってくれる人はいませんからねえ・・・。12月29日
から1月3日まで営業するんですけど、私は最終日。ガマンにガマンを重ねた人がやってくるだろう
から、痛くて神経を取る作業が多いんじゃないかなと予想しつつ、白衣に着替えました。今日は私
以外に二人。歯科医師会にほとんど出ない私は片方の先生を知りませんでした。いちおう来院順に
割り振られて行きます。担当する衛生士さんは付きっきりで面倒見てくれます。うちの病院のカルテ
はPC化しているので、久しぶりに手書きだと大変。処方箋も手書きです。最初の患者さんは見るか
らに噛み合わせの問題を抱えている人。でも、主訴は「親知らずが痛い。」レントゲンを撮っても
らって、患者さんに説明して、お薬を処方して終わり。ラッキー!
朝のバタバタが一段落したときに一番偉い衛生士さんに「先生のところは全部自費治療だって聞い
たんですけど?」と言われて、ビックリしました。「いえいえ、患者さんの口の中を赤く染めて、キ
チンと保険もやってるよ。」とシッカリと訂正しておきました。(笑)
昔の休日診療では抜歯や再根治(根の治療のやり直し)など、手間の掛かる内容も処置して良い
ことになっていましたが、今回は「処置可能一覧」が事前に書類と一緒に郵送されてきました。
やって良い治療は「単治(虫歯を仮に詰める)、再装着(ハズレた銀歯を付ける)、切開、抜随
(神経を取る)、投薬(お薬を出す)」だいたい以上です。その書類を見ながら、家内と「ムンテ
ラと投薬だけだね。」と話をしていました。「ムンテラ」はもしかしてもう死語かもしれないです
ね。以前カルテはドイツ語で書かれていました。「カルテ」自体がドイツ語です。英語なら「カー
ド」です。私が歯医者になるころには英語でもドイツ語でもどっちでも良くなって、今は日本語でも
OKとなっています。昔はカルテは開示するモノではなく「患者さんには読めない方が良いモノ」
だったからなのかな。まあ、私は字が汚くて何を書いてあるかわからないんですけどね。(笑)
ド
イツ語で「治療」をTherapie(テラピー)と言います。英語ならtherapyですね。「口」は「Mund
(ムンド)と言います。英語ではmouthですね。だから「ムンテラ」と言うのは「口で治療する・・
言葉で説明する、口先で治療する」という意味で、どっちかと言うと良い意味ではありません。だ
から、夫婦の会話の意味は「休日診療は患者さんを口先で誤魔化して、薬を出すだけしかできない
ね」という意味だったわけです。(笑)
救急診療所は1階が内科、小児科、外科など。2階に歯科、
耳鼻咽喉科などなので、1Fは大混雑です。インフルエンザのシーズンはハッキリ言って近づくだけで
危険な感じ。朝も駐車場に車を停めて、1階の診療所は通過せず、裏の階段で2階に行きます。
控え室に戻って読書をしていると担当衛生士さんが呼びに来ました。「主訴はインレー脱離の患
者さんです」。ラッキー!再装着して20分で終了。結局、午前中に5人診ました。レントゲン撮っ
て、説明して投薬のみ3名、再装着1名、ホントにムンテラのみが1名。私の回り以外は非常に「歯科
医院らしい状況」で、常に「キーン、キーン」と歯を削る音がします。久しぶりに聞いて鳥肌が立ち
ました。うちはタービンはもう15年以上使ってないからね。衛生士さんがバタバタと走り回り、活
気が溢れています。私一人、患者さんとしゃべり、衛生士さんとしゃべり、受付としゃべって、する
ことがなくなると控え室で本を読んでいました。午前の5人の患者さんの中で噛み合わせに問題があ
り、それが原因で奥歯を失っている人が3人。30代の顔の細いキレイな女性も前歯だけ残って、奥歯
を噛み割っていました。かわいそうに。その患者さんの噛み合わせのことを担当衛生士さんに説明
しても不思議そうな顔をしていました。彼女たちが普段耳にする「常識」
じゃないですからね。控え室には前の先生達が書いた 、その日の感想など
を記録した診療日誌がおいてあります。正月中の来院患者数の平均は40名前
後。12月29日の記録に「歯の痛みのために救急車で来院した患者あり!」っ
て書いてありました。ニュースで聞きますが、ホントにいるんですね。ビッ
クリ。救急隊員の方々、本当にご苦労様です。
また午後から診療開始。午後は最初から歯医者感100%です。他の二人はも歯を削りまくっていま
す。私は歯を削ることはせず、痛みの理由を説明し、外れた銀歯を仮止めし「応急処置だから、かか
りつけの先生のところでチャンと治してもらってね。」って。手抜きじゃないですよ。(笑)
私の最後の患者さんは顔が血まみれのおばあさんでした。玄関で転んで、唇を切ったようです。顔
に擦り傷とおでこにタンコブがあります。転んでからだいぶ時間が経っていて、出血は止まっていた
ので、ムンテラと投薬だけで返そうと思ったら、けっこう深く切れています。これじゃ食事もしにく
いし、また出血すると思ったんで、縫合することにしました。「縫合します。」と言ったら、回りが
ザワザワしてきたので、どうしたのかな?と思ったら、あまり縫合をやる歯医者は多くないらし
く、東京歯科大の口腔外科に紹介する先生が多いらしいです。(笑)
担当衛生士さんに「持針器あ
る?ウチのは1本8万円の上等なヤツなんだけど。」と脅しをかけました。実際、ウチの道具は上等
です。「先生、糸はこれでいいですか?」途端に言葉遣いが変わりました。けっこう効いたようで
す。ちょっと麻酔して3針縫って10分で終了。ムンテラと投薬だけのつもりがホントにMundの
Therapi「口の治療」をしてしまいました。
結局、 1月3日は総計30名来院でした。唯一、縫合しましたけど「ムンテラ」だからOKという
ことで。私が診た10名は今の「私の目」にはほぼ半数が噛み合わせに起源があるように見えま
す。現在、うちの診療所に来る人は半分以上が噛み合わせに問題があります。ウチに来る人はうちの
HPを見たり、噂を聞いたりして来るんでしょうから、高率になるのはしょうがないと思っていまし
たが、普通の診療所にも半分近くは来ているんですね。まあ、通常はそれが問題とは「見えない」
んだから、当然指摘されることなくスルーされているわけですけど・・・。その昔、噛み合わせ系
の教科書を読んでいて「一般人の47%には噛み合わせに問題がある」と書いてありましたが、その
当時は信じられませんでした。今回、救急専門ですが「よその歯科医院」に行って、その比率に納得
です。これからはウチに来る初診の患者さんには最初に問診票と噛み合わせチェックシートも書い
てもらうことにしました。
「矯正治療の話ばかりで面白くない!」と思っている方、ごめんなさい。でも今、私が一番面白
いのが矯正治療なんです。次がゴルフ?(笑)
仕事と遊びを同列に語るのは日本では良くないのかも
しれませんが、今までも仕事と遊びを分けて考えたことはありません。料理も同列です。ワガママ
なので、やりたくないことはやらずに済む道を選んできた結果なんでしょう。(笑)
私は鹿児島大学を卒業したら関東に帰ってこようと思っていました。卒業前に東京医科歯科大学
(お茶の水)の歯周病科に来ることは決まっていました。その医局の教授が急死されたためにその
話は流れてしまいました。 医科歯科大で私の窓口になってくれた先生は後に鹿児島大学に来て、助
教授、教授となり、今は医科歯科大学の教授になっています。 私は卒後の行き先を選ぶ段階で当時
の鹿児島の助教授(近頃良くゴルフしている)に「医科歯科の矯正に行く?」って推薦されたんです
けど、相当悩んで、結局行きませんでした。ウチの家内には「いろいろと遠回りしたから『今、矯正
が面白い』って言えるんだよ。」と言われています。たぶん正解です。
今までもいちおう15年以上矯正をやっていたんですけど、そんなに面白くありませんでした。単
に審美を目的にしている矯正なんで面白くなかったんでしょうか。歯並びが悪い人の審美を整えるこ
とに意味はあるんですけどねえ・・・。今でも世の中では矯正治療というのは小臼歯を抜歯する方
法がほとんどです。でも、歯の本数を減らして「シッカリ噛む」ことはそんなに簡単なことではあり
ません。だから、噛み合わせをわかっているはずのICCMOメンバーの矯正専門医に習ったんです
が、治療期間が長く(2〜3年)、あまり上手く行かない。やはり「生きる」ために必須の部品であ
る歯を減らすことには非常に抵抗があります。私はできればやりたくない 。しかし、小臼歯を4本も
抜歯するのがイヤな人は子供の頃から顎を大きくしておかないと普通は無理なんです。
私は鹿児島大学を卒業したら関東に帰ってこようと思っていました。卒業前に東京医科歯科大学
(お茶の水)の歯周病科に来ることは決まっていました。その医局の教授が急死されたためにその
話は流れてしまいました。 医科歯科大で私の窓口になってくれた先生は後に鹿児島大学に来て、助
教授、教授となり、今は医科歯科大学の教授になっています。 私は卒後の行き先を選ぶ段階で当時
の鹿児島の助教授(近頃良くゴルフしている)に「医科歯科の矯正に行く?」って推薦されたんです
けど、相当悩んで、結局行きませんでした。ウチの家内には「いろいろと遠回りしたから『今、矯正
が面白い』って言えるんだよ。」と言われています。たぶん正解です。
今までもいちおう15年以上矯正をやっていたんですけど、そんなに面白くありませんでした。単
に審美を目的にしている矯正なんで面白くなかったんでしょうか。歯並びが悪い人の審美を整えるこ
とに意味はあるんですけどねえ・・・。今でも世の中では矯正治療というのは小臼歯を抜歯する方
法がほとんどです。でも、歯の本数を減らして「シッカリ噛む」ことはそんなに簡単なことではあり
ません。だから、噛み合わせをわかっているはずのICCMOメンバーの矯正専門医に習ったんです
が、治療期間が長く(2〜3年)、あまり上手く行かない。やはり「生きる」ために必須の部品であ
る歯を減らすことには非常に抵抗があります。私はできればやりたくない 。しかし、小臼歯を4本も
抜歯するのがイヤな人は子供の頃から顎を大きくしておかないと普通は無理なんです。
成人(永久歯が生えそろって)になってからの矯正治療で、歯並びが悪くても抜歯をせずに治療で
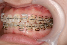
きる可能性が高いのがMEAW(Multiloop Edgewise Arch-Wire)です。近頃福岡に習いに行っている方
法です。もともと神奈川歯科大(横須賀)の先生が日本に広めたんですけど、ほとんどやっている人
はいません。当然と言えば当然なんです。デメリットをあげたらキリが無い。(笑)
患者さんからす
ると見た目が悪い。針金が複雑で食べ物が引っかかる。矯正装置だけでも
カッコ悪いのに、鍋に入っていたエノキが挟まり、長ネギが絡みついたら
取れない。歯医者からすると流れ作業にできないのでスタッフ任せにはで
きず儲からない。術者に3D感覚と高度な針金曲げのテクニックが必要なの
で不器用にはできません。(笑)
逆にメリットは、小臼歯を抜歯しないで
済む(親知らずは抜きますが)。治療期間が短い(抜歯してしまうと空間が空くので、それを閉じる
のに時間がかかります)。治療後に顎関節症の症状が出にくい(顎関節症を治すためにやってるわ
けですから)。後戻りが少ない(抜歯矯正はスペースができやすいです)。まあ、患者さんには良い
でしょうが、歯医者にはつらくて儲からない治療法です。
うちでは治療方針は患者さんと相談して決めるんですけど、これから2年ぐらいはMEAW以外は
やらないだろうと思います。なぜ2年かと言うと、先日友達が主宰するドイツ矯正セミナーに行っ
てきました。メインは上顎の中央に細いインプラントを入れて
それを固定源にして大臼歯を後ろに動かして治療する方法で
す。これができるとMEAWじゃなくても小臼歯を4本も抜かな
くて良くなるんです。他にこのインプラントの使い方にとして
小児(8〜10歳)の上顎に2本入れて左右に拡大する方法も
あります。子供にやるからちょっと怖いんですけどピクピクと食指が動いています。(笑)
主訴が「見た目」であるならば、今流行のインビザラインなどの見えない矯正装置を考えている
方も多いでしょう。将来はこのミニインプラントとの併用でそれなりの治療が可能になるかもしれ
ません。でも、現時点ではインビザラインはちょっとお薦めしにくいです。理由は今のところ上下の
歯並びを別々に整えるので、最終的に噛み合うことが難しいんじゃないかと思えるからです。実際に
1年ぐらい前に、噛み合わせの問題を主訴で来院された弁護士さんが、見た目は整った歯並びでし
たが、キチンと奥歯が噛み合っていませんでした。なぜ噛まないのかという理由をお話ししたら「そ
れはそうですね」と言って、納得して帰って行きました。まあ、目的が審
美なので、仕方が無いのかな・・。
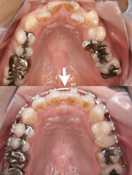
結局、患者さんの欲する内容で治療法を変える事ができると良いと思い
ます。歯並びのガタガタは空間の不足が原因です。狭いところに密集する
からダメなんで、間引けば並ぶでしょ・・。というのが今現在の抜歯矯正
です。狭いところには少ない本数で行こう!ってことです。一方、私がお
薦めするMEAWは空間を増やして並べるんです。ガタガタになる原因の
「狭さ」は後ろの大臼歯が前方に倒れ込んでいることが多いんです。それ
を起こすことで空間を作ります。前後方向だけじゃなく、横幅が狭い場合
もあります。これの原因は鼻呼吸不全です。鼻呼吸は小さい頃から育てる
ものです。しかし、MEAWで矯正治療をした結果、横幅が増えたら鼻呼吸
が楽になり、イビキが無くなった方もいます。この方は歯列が整ったことで歯ぎしりもなくなりまし
た。審美目的で治療を開始したんですけど、オマケの方がお得だったかもしれません。MEAWだと
見た目も噛み合わせも両方治ってしまうんで、うちのお薦めなんですけど、デメリットも多いので、
無理強いしにくいです。でも、将来噛み合わせがどうなるかわからない治療をして高いお金をもらう
のは、そのことを知ってしまった今の私には辛い選択です。でも、見た目だけに命を賭けて生きてい
る人も多いですから、余計な御世話なのかもしれません。(笑)

