千葉県千葉市の加藤歯科・歯科医・歯医者では審美治療 ・メタルフリー治療・矯正治療 ・歯周病治療・インプラントの治療を行っております。
2015.8
みなさん、お元気ですか?夏本番です。暑いなあ・・・。
前回のひとことで「グルテン過敏症」のことを書きました。
血液検査の結果に興味をお持ちの方もいるかもしれません
ね。2週間で結果が出る事になっていたんですけど、検査が
殺到したようで、1ヶ月近くかかりました。私は家内の結果
を気にしていたんですけど、彼女は問題となる項目(右の図
のレッドゾーン)はありませんでした。グルテンは全く問題
なしでした。あの下痢は単なる下痢?(笑)総じて見ても中
程度の反応はいくつかありますが、問題となる項目はありま
せん。対して私は・・・。問題アリです。卵と乳製品がダメ
でした。乳製品は以前からほとんどゼロにしていますが、
チーズは少し食べてます。もしも、卵を100%排除すると
なると非常にやっかいです。外食すればほとんどの食品に
入っているでしょう。さすがに卵かけ御飯やプリンはやめま
す。自覚症状が全く無いんで、困ったなあ。ジョコビッチのように食べ物を変えて世界一になれる
なら、考えますけどね。とりあえず、ゴルフのシニア世界一はあきらめます・・・。
高校1年ごろまでウチには猫がいました。レオという黒トラ模様の大きな猫でした。今はキャッ
トフードでしょうが、当時の彼の食事は削り節を御飯にかけた「猫マンマ」でし
た。鰹節削り器で彼の御飯のために鰹節を削ると身体をすり寄せてきました。普
段は独立心の強い猫でも食事の時はすり寄るんです。大人になって、飲み屋のキ
レイな姉ちゃんがすり寄ってきたとき、いつもレオのことを思い出します。私が
子供の頃は「味の素」の全盛期で、食卓に登場するあらゆるモノにもふりかけて
いたように思います。これはウチだけじゃなく、当時(昭和40年代)の家庭の
テーブルには化学調味料の瓶が置かれていたと思います。
ある時、父親が誰かから「指圧」の先生を紹介され、受診しに行くようになりました。その
先生の御意見で我が家の味の素は廃棄されました。現在売られている
味の素とは違い、当時は石油由来の製品で、これが「健康によろしく
ない」という理由でした。醤油も外房の大原まで買いに行きました。
あの木戸泉の隣に醤油屋があったんです。私の健康志向は父親譲りの
部分がかなりあります。(笑)それ以来、うちの鰹節は猫専用ではな
く、和食の出汁にも使っていました。当時はまだ鹿児島とは縁がな
く、近所の乾物屋で売っていた亀節でした。私が鹿児島大学に行くよ
うになり、天文館の鰹節専門店で土産に鰹節を買うようになりまし
た。鰹節にも中枯、本枯があり乾燥度合いが違う。雄節と雌節では
味が違う。などなどいろいろと本場の知識が増えてきました。自宅用
には主に中枯の雄節を買ってきました。「花かつお」ってこの鰹節と
は別物って知ってました?鰹を蒸して、乾燥させただけのものを削っ
ているのです。鰹節はこの後に表面にカビ付けを何回かおこなって、
アミノ酸の分解を進めた、非常に手の込んだものです。
日曜日の夕方に「COOL JAPAN」という番組があります。日本に
住んでいる外国人から見てCOOL(カッコいい、ステキ)な日本のモ
ノを取り上げていく番組です。先日、UMAMI(うまみ)が取り上げ
られました。日本人の私も知らないことが多く、日本の「うまみ」文化はさすがに奥が深くてビッ
クリでした。昆布の問屋さんへ取材に行き、超高級昆布を味見します。銀座を歩く外国人に味噌汁
を飲ませます。まずはダシの入っていないもの、次ぎにダシ入り。ほぼ100%がダシ入りの方が美味
しいと言いました。20世紀初頭に分離、発見されながら、ずいぶん長い間、UMAMIは認められて
いませんでした。ダシ入りが美味しいとわかるということは、彼らもUMAMIセンサーは
持っていたんですけどね。(笑)グルタミン酸は1908年にだし昆布から、1913年に鰹
節からイノシン酸が日本人により発見されましたが、欧米の学者達はUMAMIの存在に懐
疑的でしたが、味蕾にある感覚細胞にグルタミン酸受容体が2000年に発見されました。
しかし、「カビが付いた魚」だからでしょう、日本の鰹節はフランスには輸出できません。現地
の日本料理店は仕方なく、質の悪いベトナム産の鰹節を使っていたらしいんですが、日本食ブームで
やはり本場の味が求められているんでしょう。鹿児島の枕崎水産加工業組合が会社を作って鰹節がフ
ランスで作られることになりました。「枕崎フランス鰹節」という会社だそうです。
ところで、フランスで作った鰹節はどのように使われるのでしょう・・・。和食のダシですよね。
ヨーロッパの和食店に広く使われるんでしょう。でも、なんでも取り入れて行くフランス料理ですか
ら、いずれ昆布ダシの効いたコンソメスープとか出てきたりして・・・。美味しくないわけじゃない
でしょうけど、微妙です。鰹ダシの効いたビーフシチューとかね。ホントかどうかわかりませんが、
肉じゃがという料理は明治時代にイギリス海軍に留学していた東郷平八郎が
帰国後、自分の食べた感覚と材料を言葉で伝えて「ビーフシチュー」を作ら
せたんだそうです。ホンモノのビーフシチューなど知らない料理長は牛肉、
タマネギ、ジャガイモなどを煮込んで醤油と味醂に砂糖を加え出来上がった
のが「肉じゃが」だというんですけどね。いずれフランスの三つ星レストラ
ンが「NIKU-JAGA」をメニューに載せる日も近いかも・・・。
日本に歯列矯正がやって来たのはいつごろなんでしょう?私がはじめて矯正治療をしている人を見
たのは高校1年の時でした。違う高校に行った友達と千葉駅ですれ違った時に彼の口がすごいことに
なっているのを見たんです。全部が銀歯。もうビックリするぐらい。彼が何をしていたのかを理解し
たのは歯学部に入ってからです。まだ当時は歯を金属の箔でくるんで止めたところに装置を付けた状
態でした。実はこの状態が今でも英語で「矯正装置」を意味する「BRASS」です。「ブラスバン
ド」の「ブラス」です。今は歯に直接器具を接着でき、歯を全部くるむ必要はなくなりましたので、
それほど目立たなくなりました。アメリカ映画の大好きなテーマは「マイフェアレディ」系ですね。
「もともとブスだった主人公が美人になる」という感じ。そのテーマで、主人公
の女の子が必ず装着しているのがメガネと矯正装置。今では矯正治療は市民権を
得て、若い人が矯正装置を付けていても誰も覗き込んだりしません。この私が装
置を付けていても若干不思議そうな目で見られるぐらいですからね。(笑)
市民権を得るのと同時に「矯正治療には抜歯が必要」ということも知られるよ うになりました。前歯が生えてきたら乱ぐい歯になりそうだったんで、近所の歯 医者に娘さんの歯列矯正の相談に行ったら、「治療費80万円、さらに永久歯を8 本も抜く!」と言われ、ビックリしてセカンドオピニオンで御相談にみえた方も 昔はいましたね。今は「抜歯矯正」が充分に浸透したんですかね・・・。日本人 の場合、出っ歯が多いので、小臼歯を4本抜いて矯正をすることが「常識」っぽくなっています。親 知らずも全部抜けば8本。永久歯32本のうちの1/4も矯正治療のために抜いてしまう事になりま す。「これで美人になれるなら、仕方ない・・・」と諦めた方も多いでしょう。あまり大きな声では 言えませんけど、これが今の矯正治療の主流なんですよね。しかし、さっきのお父さんに「なぜ抜く か?」を説明すれば納得してもらえたでしょうか?成長が終わった25歳の女性と8歳の女の子じゃ、全く話が変わるし、その8歳の子が鼻呼吸ができているかどうか で、話がぜんぜん違ってしまいます。是非知っていてもらいたいこと は、第3大臼歯(親知らず)を早めに抜歯できたかどうか?と、鼻呼吸が できているかで、予後というよりも、その子の人生が全く変わってしま うことです。顎関節症も親知らずが問題となることが多いのです。
実はかとう歯科でも20年以上前から矯正治療はやっているんです。
歯周病の治療をしていると、矯正治療をしないとどうしても磨けない場
所がでてくるんですよ。そういうところは将来必ず悪くなって抜歯しな
くちゃいけなくなる。それを解消する目的で矯正治療を勉強しはじめた
んです。当然、審美的にも良くなるから、成人の方も治療してます。10
年ほど前からはじめた噛み合わせの治療では、最終的に歯を全部削って
被せるか、矯正で歯を動かして治すかなんです。私は歯を削るの好き
じゃ無いので、できるだけ矯正治療で治らないかなと思って、東京で開
業している矯正専門医の先生に方法を聞いて治していました。しかし、
どうもスッキリしない。教育とは怖ろしいモノで、私は大学で「抜歯矯正」を教わりました。ウチ
の教授は「抜歯矯正」の大家だったんですよ。(笑)だから、自分で自分を診断してみて、抜歯する
方が良いと思い抜歯しました。しかし、動かしていくウチに「抜きすぎた」ことが発覚しました。
通常は(患者さんの場合という意味・・・)「無理矢理」引っ張って空間を閉じるのですけど、噛
み合わせを深く研究してしまった結果、私の空間を無理に閉じれば噛み合わせがおかしくなること
が充分に予想されました。結局、自分の矯正治療が終了できないという怖ろしい状況になりまし
た。今の私の技術ではさらにガタガタにしてしまう可能性があるので、ICCMO(噛み合わせの学
会)で成人の非抜歯矯正をしている先生にその技術を教えてもらおうと思い、毎月福岡までセミナー
に行っています。噛み合わせの問題を矯正治療で治すのは非常に難しいんです。
審美の改善が目的であっても、成人になってから矯正する場合、治療後数年で顎関節症を訴える
ケースがけっこう多いんです。今、うちのHPはそういう方々で大賑わいです。アクセス数は普通の
歯科医院の10倍近いそうです。だから、前回のニュースレターに書いたように「自費です!」って
書かないと大変なことになるんです。ちょっと横道にそれた感じですが、表題の「非抜歯矯正」とは
「第一小臼歯を非抜歯」の意味です。叢生(乱ぐい歯)の場合、犬歯の1本後ろの歯を抜いて整える
ことが多いんですけど、それをしないということです。それじゃガタガタが解消しないので、親知ら
ずを抜いたり、奥歯を後ろに押したりして並べます。いずれにしろ、抜いてしまって余った空間が前
の方に発生しないので、矯正治療が早めに終わる場合が多いです。
なぜ非抜歯にこだわるのかというと、やはり「永久歯は多い方がイイ」からです。今の考え方を
15年前に知っていたら、「もしかしたら」と思える症例を一つ出してみたいと思います。

左が11歳の時、右が15歳の時です。矯正治療はしていません。どうです?世の中的には○? 歯医者でも大半は○と言うでしょうね。(笑)前ページの左の写真は犬歯が生えてくる前の写真で す。よく見ると下顎は犬歯のアタマが出てきています。上顎は横に膨らんで白くなっているのがわか ると思います。もうすぐ粘膜を突き破って、生えてきます。右の写真では犬歯がキチンと並んでいま す。あれ?手品??実は第一小臼歯を上下左右で4本抜いているんです。「お金掛けて矯正治療する よりも、早めに抜いたら安くてキレイじゃない!!」って思わないでくださいね。(笑)

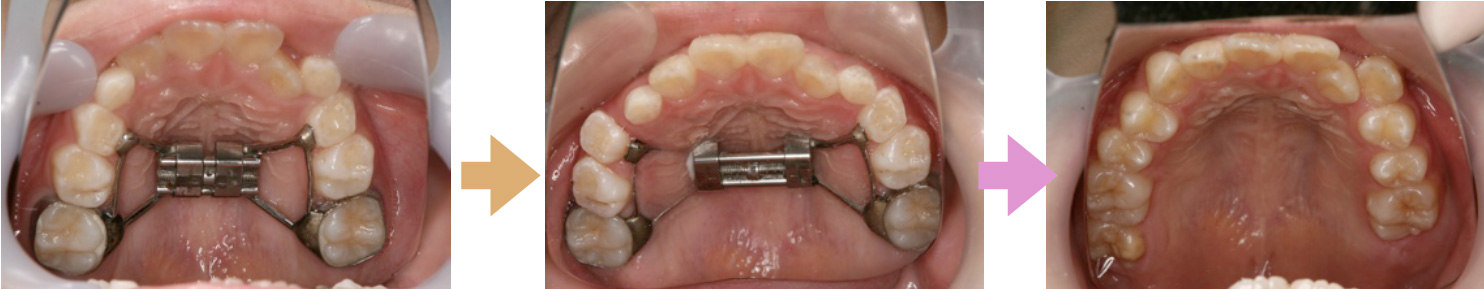
私が「もしかしたら」と思う理由は、11歳の時点で上顎を拡大することができたら、抜かずに済ん だかもしれません。上の写真は別の患者さんですが、左から右まで3年の月日が経過しています。 まだBRASS(矯正装置)を入れていないので、並びが不完全ですが、永久歯4本を守ることができ るのではないかと思います。一番右の写真は一番奥にもう1本第二大臼歯が生えると生えそろいま す。前ページの右の上顎の写真と比べて、横幅がゆったりしているのがわかりますか?前のページの 上顎は尖っていますよね。これは上顎が狭く、鼻呼吸がしにくい顔ということです。見た目だけなら ○でも全身のことを考えたらイマイチでしょう。全身の健康を第一に考える私が選ぶ方法は、今な ら「上顎の拡大」です。治療対象は第1大臼歯が完全に生えていて、全身の成長がある間です。女の 子の場合、一般に小学生の間、男の子は中2ぐらいまででしょう。 「非抜歯矯正」と言っても、全く抜かないワケじゃありませんので、あしからず。第3大臼歯(親 知らず)は顔を出す前でも積極的に抜きます。また、症例によっては上顎の第2大臼歯を抜いて、第 3大臼歯を生えさせて並べる場合もあります。結果的に第1小臼歯を抜かず、口の中に28本の永久歯 が残るようにしたいんです。(通常の抜歯矯正では24本の永久歯で完成することが多い)

