千葉県千葉市の加藤歯科・歯科医・歯医者では審美治療 ・メタルフリー治療・矯正治療 ・歯周病治療・インプラントの治療を行っております。
2008.12
すでに12月です。今回は11月30日にICCMO(噛み合わせの)学会があり、さ
らにICCMO FELLOWという国際顎機能認定医の試験があり、全くニューズレターを
書くヒマがありませんでした。歯科医師国家試験以来の試験ですから、25年ぶ
りです。昔は覚えようと思った文章を数回読めば半分ぐらいは頭に残ったんです
けど、今じゃ単語が一つぐらい残る程度です。老いの現実を突きつけられた感じ
ですね。前回のニュースレターの冒頭に石けんプレゼントのことを書きました。
定期検診で石けんをお渡しすると「ああ、お手紙に書いてありましたよ
ね・・。」と反応してくださる方が8割以上でした。あまりの高率にビックリで
す。感謝感激です。その事実を知るとあまりエキセントリックな内容もどうかと思いますけど、
普段からそういう生活をしていますので、ウソも良くないと悩み、以前よりも文章をひねり出す
のに苦慮してしまいました。院長 加藤昭浩
大学受験の話題がうちの家庭でも出るようになりました。私も家内も鹿児島大学歯学部なので、いわゆる「理系」です。この「文系」「理系」という振り分けがいつから始まったのかわかりません。自分がどうして、理系を選んだのかと言えば、職業的に「理系」職業に就きたいと思っていたからでしょう。それに「国語」の成績が芳しくなく、それに比べて数学がまともだったからでしょうか?(笑)物理、化学は特に得意でもなく、現在の仕事に一番必要な生物は受験大学の入試科目に存在しませんでした。逆に社会系は好きで日本史などは今でも大好きです。私の受験したころは、まだまだ細かい受験テクニックが徹底されている時代ではなく「社会2科目」と言えば「日本史、世界史」を選ぶ人がほとんどで、点数の取りやすい地理とか政経、倫社とかを受験科目に選ぶ人はほとんどいませんでした。
今回のテーマに絡む世界史は高校1年からスタートしました。分厚い教科書の最初の「四大文明」は非常に面白かったです。ビールはメソポタミア文明の発明品で労働の対価(給料)になっていたなんてね。中国の歴史に入ったら人名が「漢字の嵐」で、漢字恐怖症の私は全く記憶することができず、ここで挫折しました。大学受験の時は社会1科目でしたので、日本史を選択しました。結果として私の記憶の中に「世界の歴史」が無いままに数十年が経過したわけです。数年前に思い立って、中国の歴史の前半部分を陳舜臣の「小説・十八史略」という長大な本で少し穴埋めをしました。しかしそれ以外は無知なまま過ぎてきました。
各地を旅行するたびに「歴史を勉強しておくんだったなあ・・」と思います。日本国内を旅行する時には日本史で足りました。25年前にスペインに行ったときにローマ時代の水道橋を見てビックリしました。と、同時に現在住んでいる人たちがそれほど遺跡を大切にしていない風だったのが不思議でした。その記憶が残っていたからでしょうか、本屋でたまたま見かけた「ローマ人の物語」の文庫第1巻を買いました。そのまま「積ん読」して数ヶ月が経過した頃、ニュースで高校の必須科目の未履修問題を伝えていました。家庭科を教えたはずの時間に英語を教えたり、体育をやったことにして数学の授業をしたりして、バレて履修時間不足になった問題です。その時、朝日新聞にいろいろな分野の有名人がコメントを寄せていました。その中の一つに「ローマ人の物語」の著者である塩野七生さんの文章がありました。正確には覚えていませんが、「カエサルはハゲで中年のオヤジなのに、なぜあれほど女性にもてたか。それは一度も自分から女性を振ることをしていないからでる。世界史を単に受験科目として見るのは非常にもったいない」みたいな話が載っていました。私の心をくすぐる言い回しに、思わず机の上を探しまわりました。
読み始めるとこれが面白い。名前だけ知っている人がいっぱい出てきました。ハンニバル、カエサル、クレオパトラ、ブルータス・・・。ハンニバルは何年もローマの領土で戦っていたのに、カルタゴはほとんど援助しなかったんです。カルタゴはお金持ちだったから戦争する時には傭兵を使っていたからなんでしょう。カエサルは皇帝になるまで、借金がいっぱいありました。でも、その借金は女性にプレゼントを贈るためなんです。彼は名門ではあっても裕福ではなく、権力の中枢に辿り着いたのは中年になってからなんだそうです。絶世の美女と言われるクレオパトラがハゲのカエサルの寝室に潜り込んでいくなんてちょっとむかつきます。一説によると当時の元老院議員の1/3はカエサルに妻を寝取られていたそうです。(笑)ギリシャはあれだけ立派な哲学を残しているのに、なぜ都市国家で終わったんでしょうね。ワインの産地はローマ帝国の領土に合致するんです。ローマ時代から難問であったユダヤ人統治などは今でも世界が引きずっています。今から2000年前、広大な領土と多民族からなるローマ帝国は現代の国々がお手本とするような制度や法律を作り上げ、人民を押さえつけることによらずに、数百年に渡り存在し続けました。ローマでは古代の領土争いのあった時代に「市民」の義務は参戦でした。それが「納税」であり、文字通り「血税」だったわけです。市民が自ら血を流すことがカルタゴとの戦いに勝つことができた理由かもしれません。市民の階級によって戦争に参加する時の装備は変わりましたが、お金を出すだけで「税」をすませることが出来る人は社会の最下層の人々でした。奴隷がいなくては貴族の生活は成り立ちませんでしたが、奴隷の身分から上の階層へ上がるシステムもありました。国のサイズが大きくなるにつれて統治機構も変化しました。直接民主制から共和制、皇帝制へ非常に上手く変化させました。皇帝は必ずしも世襲ではなく、これまた上手に皇帝を選んでいます。当然、評判の良くない皇帝もいました。黒人の皇帝もいたのです。アフリカ大陸の地中海側はローマ帝国の一部でしたから当然なんですけどね。道路整備されるまでは船による交通ですから、アフリカの黒人の方がガリア人やゲルマン人よりも見慣れた存在だったと思います。アメリカで黒人の大統領が選ばれて大騒ぎしていますが、1500年おくれています。私がスペインで見た水道橋のような建築物は国中にあったんです。中世のヨーロッパ人はそういう建築技術を持たなかったので「これは人間の作ったモノじゃない。悪魔の建築だ!」と言っていたそうです。ローマ帝国は衰退し始めてキリスト教を国教とするまで多神教でした。それまで宗教が政治を支配することなどなかったわけです。まだ最後まで文庫本になっていないので、なぜキリスト教を国教にしなくてはいけなかったのかはわかりません。実はそこが一番知りたいところなんです。世界の歴史を理解するにはキリスト教を理解しないと難しいでしょう。
今の世の中を眺めるに一神教対一神教の戦いばかりです。イスラム教対キリスト教は十字軍の昔から続いているわけです。さらには同じ一神教の中の宗派同士の戦いもあります。イスラム教の中でもやってるし、キリスト教の中でもつい最近までアイルランドのIRAがやっていましたからね。日本のような多神教の国からするとなぜそこで戦わなくてはいけないのか理解に苦しみます。でもそんな他人事のように見ることができる理由は、日本という国が世界の東のハズレにある小さくて、それほど魅力のない島国であったからです。2000年も独立を維持するためには、そのことが如何にラッキーなことだったかを、歴史を知ると少し理解できます。
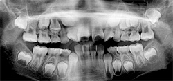
年に2回ぐらい歯科検診に出かけます。1歳半と3歳児の検診です。子供の虫歯の多い時代に
始まったのですが、乳歯の虫歯の無い今、ほとんど存在意義がなくなってしまいました。お母さ
んに自由に質問してもらう欄があるのですが、そこに書かれる内容の多くは「歯並びが心配」で
す。1歳半検診の時に乳歯の反対咬合の子供がいます。きっとお母さんはどうして良いか、とて
も心配でしょう。今回は矯正治療を早期にスタートする目的、早期治療の利点、欠点、早期矯正
治療を始めるべき時期などについて書いてみたいと思います。
矯正治療の目的は子供も大人もすべての永久歯をしっかりと咬ませ機能的にも審美的にも調和の
とれた状態にすることです。
歯列不正の原因は先天的なものと後天的なものがあります。先天的なものは歯の本数の過剰や
不足、巨人症(ジャイアンツファンではありません)、小人症などです。
後天的原因は悪習癖、口呼吸などです。悪習癖の中の代表的なものは指
しゃぶりです。指しゃぶりは3歳ごろまでに止められるといいですね。口
呼吸は鼻で呼吸ができないから口で呼吸するわけで、その原因はアレル
ギー性鼻炎、アデノイドなどです。
成人の場合、骨格が完成し、すでに差し歯が入っていたり、抜けたまま
になっているので矯正治療だけで終わることはできません。小児の場合は乳歯の虫歯があって
も、それが抜ければ新しい歯が生えますから矯正治療だけで機能的にも審美的にも調和させるこ
とが可能です。結果的に「安く」終わることができます。子供の骨格はこれか
ら成長しますので、矯正治療に「成長分」を盛り込むことができます。歯を動
かすというよりも顎を治療する感じです。成人ならば抜歯以外には考えられな
い場合でも、早期治療ならかなりの確率で抜歯ナシで終わることができます。
反対咬合の場合は早めに治療を開始した方が良いと思います。
早期治療の欠点としては治療期間が長くなることがあげられます。また、子
供は見た目を別に気にしていないことが多く、治
療に非協力的な場合がほとんどです。親としては
早く安く終わりたいのに子供の協力が得られずに
人間関係が悪化することもあります。また、取り
外しできない装置の場合は歯磨きが難しいので虫
歯になる可能性が高くなります。
治療開始時期については個人差があるので大ま
かな目安ですが、前歯が上下4本ずつ生え替わる
頃です。年齢でいうと6歳から8歳ごろでしょう。この頃を「混合歯列
期」といいます。この時期にキチンとした診断を下すことが重要だと思
います。そうは言っても乳歯の受け口は気になるモノです。そういう方
には治療効果は不確実ですが、柔らかいマウスピースがあります。
このように見ていくと早期治療は夢のような治療と思われますが、早期治療だけで完璧な噛み合わせができるわけではありません。早期治療は「顎の成長に関する治療」です。成長の止まった時期(小学校高学年以後)から矯正を始める場合に比べて、抜歯の可能性が低くなります。また、フルバンドが必要になった場合に装置装着期間が短くなります。いずれにしろ、過ぎ去った時間は戻りません。矯正治療に関しては早めの検診をお勧めします。
編集後記
早いようであんまり早くないような感じで一年が終わろうとしています。お陰様で、今年で50歳になりました。医院も来年で 20年になります。まだまだ実力も知識も不充分と思い、いまだにセミナーにいろいろと参加しています。下手なゴルフに行く よりも面白いですから・・。前回書いたようにマイクロスコープなど新しい道具により、価値観や診療体系が大きく変わってし まいました。まさに「コペ転」です。しかし、同級生の中には残りの年月を指折り数えて、歯医者の引退を真剣に考えている男 もいます。残念なことに、自発的に引退するのではなく、病気により引退せざるを得ない友人もいます。11月初めにその男の 病気の話を聞きました。2万人に一人発症する悪性の脳腫瘍です。うずらの卵大の腫瘍が二つ右の前頭葉に発生し、10時間以 上のオペで前頭葉の90%を切除したのだそうです。手術ができても、残念ながら1年生存率50%、5年で7%なんだそうで す。左の前頭葉ならば切除したらほとんど廃人になるので、手術はできないそうです。
