千葉県千葉市の加藤歯科・歯科医・歯医者では審美治療 ・メタルフリー治療・矯正治療 ・歯周病治療・インプラントの治療を行っております。
2009.4
おかげさまで4月16日で開院20周年を迎えることができました。これもひとえに患者様、業者の方々、歴代スタッフ、家族のおかげだと思います。ありがとうございました。院長 加藤昭浩
以前にもインプラントのネタを書いたと思いますが、先日、有名ドクターが集まった「インプラントを考える」というセミナーに行って、考えがスッキリしたので今回も書いてみたいと思います。
1.入れ歯とインプラント
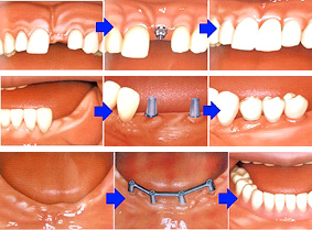
御存知の通り「インプラント治療」とはチタン合金のネジを顎骨に埋めて、その上に「歯」のようなものを載せ、その「人工の歯」を使って咀嚼を助ける治療のことです。「歯が1本抜けたらインプラントを1本埋める」のように1対1が理想です。インプラントが使われるまでは「ブリッジ」という治療法が一般的でした。なぜ「一般的」なのかと言えば、選択肢が取り外し式の「入れ歯」か、固定式の「ブリッジ」しかなかったからです。「入れ歯」は患者さんに嫌われました。下顎の入れ歯の場合は食事中に外れやすく、入れ歯の一部が舌の先が当たって邪魔なので、入れ歯を作ってもほとんど使われません。しかし、過大な咬合力が長期間小臼歯に懸かると徐々に歯を壊していきます。神経の死んでいる歯の場合は必ず折れます。小臼歯まで無くなればさすがに食事は困難を極めます。お友達と食事に行けば、いくら急いで食べても食べ終わるのは最後です。咀嚼せずに飲み込むので常に胃腸の具合が悪く、消化薬を常用しています。唯一の救いは、お友達と一緒に旅行に行ったときに入れ歯を外すところを見られずに済むことぐらいでしょうか。正面からの見た目だけは維持されますから、なんとか我慢できるのでしょう。
こういう悩みを持った患者さんにとって、インプラントは夢の治療法です。
2.歯周病治療とインプラント
私は1984年に大学を卒業してそのまま歯周病教室に勤務しました。文部教官として診療、教育、研究をしていました。当時、歯周病の治療ができる大学病院は東京医科歯科大学系の教授のいるところだけでした。新設校でしたのでラッキーにも東京医科歯科大学の助教授だった○田教授が着任しました。
大学で最新の歯周病治療をやってきたので「歯周病で歯が無くなった人にインプラントを埋めてどうする!」というのが私の当時の考えでした。実は今使われているチタンインプラントの前に○セラが出したセラミックインプラントという商品がありました。この商品は爆発的に売れました。ですから、セラミックスを扱う他の会社も研究し始めました。ニ○ン、○光学などは大学と組んで実験をしたわけです。うちの医局もニ○ンの「生体活性ガラス」の動物実験をしていました。いちおう動物実験が終わり、臨床に行く前に、大学内部で実験が行われました。今よりも緩い時代でしたからできたのですが、学生や医局員で歯のない人に埋められたわけです。結果は・・・。現在、ニ○ンは医療用品から手を引いているようです。
御存知の通り「インプラント治療」とはチタン合金のネジを顎骨に埋めて、その上に「歯」のようなものを載せ、その「人工の歯」を使って咀嚼を助ける治療のことです。できれば「1本歯が抜けたら1本インプラントを埋める」ように1対1の方法が理想です。インプラントが出るまではブリッジという治療法が一般的でした。選択肢が取り外し式の「入れ歯」か、固定式のブリッジしかなかったからです。しかし、一番後ろの歯がなくなると入れ歯しかありませんでした。特に下顎の入れ歯の場合は食事中に外れやすく、入れ歯の一部が舌の先が当たって邪魔なので、入れ歯を使わなくても食事できる場合はほとんど使われません。大臼歯2本無くても充分に食事はできます。しかし、過大な咬合力が長期間小臼歯に懸かると徐々に歯を壊していきます。生きている歯は折れることはありませんが、神経の死んでいる歯の場合は必ず折れます。小臼歯も無くなればさすがに食事は難しくなります。お友達と食事に行けば、急いで食べても食べ終わるのは最後です。そして常に胃腸の具合が悪く、消化薬を常用しています。唯一の救いは、お友達と一緒に旅行に行ったときに入れ歯を外すところを見られずに済むことぐらいでしょうか。正面からの見た目だけは維持されますから、なんとか我慢できるのでしょう。斜め45度じゃバレます。
こういう悩みを持った患者さんにとって、インプラントは夢の治療法でした。
3.インプラントと免疫
こういう経過を知っていたので「ダメ」と思っていたわけです。所詮インプラントは身体に刺さった「トゲ」です。人間の身体は高度な免疫で守られています。白血病の治療途中で無菌室に居なくてはいけないのは、普通に存在する細菌も免疫不全では抵抗できないからです。人間の免疫は生物の進化に伴っています。ヤツメウナギに顎関節ができて咀嚼できるようになった段階で免疫は格段に進化しました。理由は咀嚼により、口腔内に傷ができるからでしょう。お魚と人間は基本的に免疫系に違いはありません。
「インプラント治療」なんて誰でも思いつくんじゃないでしょうか?歯が抜けた様子を見れば「アゴの骨を削って歯を挿せばいい」と思いつくでしょう。ゾウの歯である象牙で歯の形にして埋めたり、他人の歯を抜いて埋めることぐらいやっているでしょう。でも上手くいきません。なんで上手く行かないの??当然、感染してしまって脱落することもあるでしょう。これはまさに「身体に刺さったトゲ」がウミと一緒に排除されるのと同じです。外傷で自分の歯が抜けてしまい、短時間のうちにきれいにして同じ穴に埋め戻せば付くこともあります。しかし、時間が経ってしまい表面の細胞が死んだ場合に埋め戻しても数年で脱落します。これは歯が骨に置き換わってしまい、骨のリモデリングに巻き込まれてしまうからです。じゃあ、「感染させずに骨に溶かされない素材なら良いはず」と思って治療に使ったのが○セラのセラミックなわけです。しかし、残念ながら上手くいきませんでした。
4.チタンインプラントとの出会い
そういう経験をしていた私の前に衝撃的な論文が出てきました。下顎半分をチタン製のインプラントでブリッジにした症例がすでに治療後10年の経過があるという話です。この論文は歯周病の世界的な雑誌に投稿されたもので、これ以前に総義歯の患者さんの治療をしたケースが多数あるようでした。これがブローネマルクインプラントの最初のタイプです。いろいろと細かな問題はありましたが、画期的な製品です。しかし、なぜこれだけ15年もOKなのか??という疑問が湧いてきました。象牙をインプラントに使うのと同じレベルでステンレスや金合金も考えられるわけですが、全く成功していません。整形外科領域では骨に使ったステンレスのネジはある意味で「自動的」にはずれます。このインプラントの開発者であるブローネマルク先生は歯医者じゃなくてお医者さんです。彼はラットの足の骨にチタン製の小さなモノサシを埋め込んで実験していたのだそうです。実験が終わって、ものさしを回収しようとしたら、骨と張り付いてしまい、骨からはずすのに苦労したのだそうです。普通ははずして終わりになるところを「人工歯根」という商品まで作り上げるところがさすがです。数年前に最初に人工歯根として治療した患者さんが亡くなり、記録はそこでストップしましたが、41年間でした。まさに「一生使えた」わけです。
5.インプラントの光と影
インプラントがこれほど流行する背景には高い成功率があります。普通のケースは5年間95%成功しますし、患者さんの満足度も高いと思います。これほど高い成功率、満足度は普通の歯科治療でもあまりありません。入れ歯に成功失敗があるかどうかはわかりませんが、たとえ「成功」しても患者さんの満足度は非常に低いでしょう。しかし、近頃はどんどん患者さんの要求が高くなり「審美的な成功」を求めるケースも多くなりました。前歯部のインプラントを審美的に仕上げるのは本当に高度な技術です。
近頃のレーシックの感染事件のように歯周病の治療もできないのに、安易にインプラントを取り入れてお金だけ集めている歯医者もいるように聞きます。残っている歯を管理できないのに新しく「歯」を入れるなんて無謀な話です。実際にインプラントを他の歯科医院で受けて歯周病の管理もされずに崩壊直前の状態の方も時々見かけます。全ては「始めに口腔内衛生の確立ありき」なのです。まずは歯周病の除去です。そして良い環境の維持、定期検診(PMTC)です。インプラントを埋めるよりも遙かに大変な作業です。安売りインプラントは保証もメンテも付いていないから安いのです。
すでに1000本以上(もうわからなくなりました)、19年の経験の中で大切なことがいくつか見えてきました。ひとつはハイリスクな患者さんがいることです。これは歯周病のリスクと近いものがあります。喫煙、歯周病、糖尿病などです。二つ目は埋める場所が無い人がいることです。その場合、大がかりな手術が必要になります。失敗する可能性も出てきます。三つ目は噛む力のコントロールが難しい。咬合力が出るので、反対側の歯を壊してしまう可能性があります。対合歯が入れ歯の場合、顎の骨の吸収が早くなり,入れ歯が不安定になります。四つ目は噛み合わせの問題が出てくる可能性が高くなります。今までは入れ歯だから適当に外れたりして問題が深刻化しなかったのですが、インプラントの場合は脱落がありません。だから、常に咬むことで24時間筋肉の異常が起こり、咬合に起因する問題を起こす可能性が高くなります。まあ、噛み合わせの問題はインプラントだけの問題じゃありませんけど・・・。
6.それでも便利なインプラント
「天然歯が一番。インプラントは歯の代わりじゃなく、歯の無いところの代わり。」
インプラント治療を受ける上で納得して頂きたいことは、インプラントはあくまでも「トゲ」であり、生体とイコールじゃないということです。変な反応を非常に起こしにくい異物であるということです。また、全ての人が「一生」使えるわけじゃありません。他の疾患と同じように、喫煙者や糖尿病の人が問題を起こしやすくなるのは一緒です。重症の歯周疾患の人のインプラント治療はとっても難しいのです。そういうハイリスクな人が定期検診に来なければ非常に早く壊れます。自費治療だから長持ちするワケじゃありません。申し訳ありませんが、保証はできません。あしからず。でも、そういうデメリットを差し引いても、インプラントは便利なのです。人間が150年生きるのが無理じゃない時代が来るようです。そうなるとインプラントの埋め換えが必要になるかもしれません。インプラントも所詮は道具ですから壊れます。身体が元気ならば何回埋め直しても大丈夫だと思います。何回結婚しても良いのと同じで、できる人は何回でもできると思います(笑)。
ここ数年お寺(旦那寺)と縁がありませんでした。お盆の施餓鬼とか全く御布施を出さず、個
人的に高野山に出かけて勝手にやっていました。うちは真言宗豊山派で、本山は奈良の長谷寺で
すから、同じ真言宗ですが高野山は別物です。今回、身内に不幸があったので、久しぶりにお寺
に連絡しました。葬儀の時にお経をあげてもらい、戒名をつけてもらうわけです。当然、それに
応じた御布施の額の話になりました。雑学的に「戒名に値段が付くのはおかしい」と知ってはい
ましたが、私の戒名じゃないし、父親との釣り合いもありますから今回までは因習どおりに素直
に従うことにしました。ただ、どうしても納得がいかない部分があったので、少し調べてみまし
た。ちょっと面白かったので書いてみますが、所詮、ネットの知識です。間違いがあったらお許
しください。
まず、「戒名」ってなんでしょう?普通の認識では「死後に仏式で葬儀をするときに付けてく
れる名前。長さで値段が変わるモノ」ぐらいでしょうか?古来は「仏門に入った証し、戒律を守
るしるしとして与えられる名前」でした。死んだ人に付ける名前ではありませんでした。ですか
ら、俗名で墓碑に名前を刻んであるのを見ますが、あっちの方が正解とも言えます。現在でも3
割の人が俗名で葬儀をあげるという統計もあります。
「ああ、要らないんだ!」というのが本音です。そもそも、いまどきの日本人なら葬儀の時に
坊主(失礼!)を呼ぶ必要などありません。だって、ふだん自分が仏教徒である認識など皆無
で、結婚式は教会で挙げて、お正月は神社でおみくじ引いて、なんて生活しているんだからね。
葬式だって神社や教会でやってもらえばいいんですよ。そうしたら戒名なんてワケのわからない
モノはいりませんし、高額な御布施も不要です。いきなり「教会でお願いします」って、無理?
本来、戒名は生きている間に出家者が師からもらうモノでしたが、室町時代頃から死んだ後に
も戒名を与え、葬儀をするようになったのだそうです。
さらに江戸時代にキリシタンを排除するため、村民を全てお寺に登録させる檀家制度ができま
した。そして寺請状の発行などをする役所的な位置になったわけです。この結果、収入の安定、
地位の向上により僧侶の堕落が始まったとも言えるかも知れません。
今では金額により院号が付いたり、文字数が増えたり、ステキな文字を使ってくれたりするわ
けですね。まるでヨーロッパの免罪符のように「高額な御布施を納めれば極楽に行けます」と
言っているのと同じです。日本では今さら宗教改革は起きませんが、俗名で墓に入る人が増える
でしょう。
〇〇院(殿)△△□□(大)居士
ところで、戒名は院(殿)号〇〇、道号△△、戒名□□、位号(大)居士、大姉、信士、信女、童
子)からできています。院号ナシで 6文字(50万)、院号付き9文字(100万)、院殿+大居士
11文字で500万だそうです。もともと院号〇〇はお墓を祀る建物を寄進したときの建物の名前で
す。そういう裕福な武将やその子孫、貴族などに付くべきモノで、加曽利貝塚出身のド平民であ
る加藤家などに本来付けるべきじゃないのです(笑)。道号△△は自然や季節、趣味や特技をい
れるそうです。戒名□□は生前の故人の文字を入れるようです。
じゃあ、ここで私の戒名を考えてみましょう。個人的に空海ファンですので、「空」と「海」
の2文字を入れ込んでみようと思っています。うちのお墓は千葉の平和公園にあります。ズ
ラーッと墓が並んでいて建物など寄進したくてもできません。お墓の上は青空ですので、「天空
院殿」とします。院殿は大名家とかですね。道号は趣味とか自然の文字を入れるので「海」。釣
りが好きですからね。「海」を楽しむで「海楽」、音的に快楽の意味でもあります。上手く「空
海」を折り込みました。戒名には名前の一文字です。「昭」か「浩」ですが、普通は上の文字を
使うようですが、「昭」は父親も使っているので「浩(こう)」を使おうかと思います。ふだん
私は大笑いするから「浩笑(こうしょう)」にします。高笑ですね。位号は大居士で
天空院殿海楽浩笑大居士です。普通なら500万円ぐらいです(笑)。
戒名はこんな感じで作れますが、問題もあります。お墓が寺院の境内にある場合はちょっとま
ずいでしょうね。戒名は使ってもらえるだろうけど、御布施の金額はあまり変わらないでしょ
う。うちのように平和公園とかなら関係ありません。葬儀の時に呼ぶ僧侶を檀家の坊主じゃない
のを呼べばいいのです。そして「戒名は〇△寺(宗派の本山)の偉いお坊さんに、生前修行して
付けて頂きました。」といえば良いわけです。そうすれば安くすみます。
これをお読みの方の中にはまだ入るべきお墓がない方もいるでしょう。そういう方の場合は海
に散骨という方法もあります。うちの家内はこの話を聞いて「これが良い!」といいました。
今、住んでいる家から東京湾が見えるのです。「狭い骨壺に入れられて、家族が滅多に来ないお
墓に閉じ込められるよりも、毎日家族に見てもらえる海に撒いてもらった方が、 ずーっと良いん
じゃないかなー」。同感です。
ちなみにネットで戒名を作ってくれるサイトもあります。ここなら高くても4万円です。親族の
死というものは、いずれは必ず起きることですから、事前に御家族で考えてみるのも良いのでは
ないでしょうか?自分の子供が付けてくれた戒名なんてステキじゃありませんか?
編集後記
あっと言う間に3月もおわりです。去年はちょうど今頃、うちの奥さんの入院と手術があって、退院後は仕事と家事であたふたしてい ました。お陰様で家内も近頃はテニススクールにも行き始めました。母親の葬儀に関しまして、御迷惑をおかけしましたことをお詫び いたします。私も姉もしばらくボーッとした感じです。悲しいと言えば悲しいですが、在宅介護で7年、意思疎通できなくなって2年 でした。まだちょっと若かったかなとは思いますが、単に長く生きれば良いというモノでもないでしょう。両親とも老醜を晒すこと なく逝ってくれたのは、カッコを気にする本人たちにとっては良かったのではないかと思います(笑)。二人を平均すると73才です から、世の中の平均からするとちょっと早いけど、人生の満足度は長さだけで測るものじゃないでしょう。結局、何をものさしにす るかで、その人間の品格が表れるのですね。お金、名誉、名声、地位、愛人の数、結婚の回数、戒名の文字数、精神性の高さ、空中 浮遊の高さ、肌の張り、歯の白さ、残っている歯の本数、BMI値、体脂肪率・・・。私も親と同じあたりを着地点とすると、あと23 年ですね。残り23年を100%充実して生活するように予定を組んでみようかと思っています。歯医者としての残り時間は20年ぐらい でしょうか?その間に噛み合わせと全身の病気との関係を明らかにしてみたいと思います。去年の家内の病気の時に書きましたが、高 額な検査で莫大な医療費が無駄に消費されています。その結果として次に考えられることは保険制度の崩壊です。どう考えても国民皆 保険制度が今後10年もつとは思えないですからね。保険が破綻して医療費が全て自費になったときにどういう歯科医療が生き残るの でしょう?欧米の歯科治療を眺めれば、まずは定期検診。安くて、安全で、キレイなCERECとマイクロスコープを使ったプラスチッ ク充填ですかね。医科の方はすべて内視鏡による手術でしょう。日帰り手術ですね。それと気功などの代替医療じゃないでしょうか。 病院から処方された、薬か毒かわからないような「薬」は飲みたくないしね。それを飲まないで早死にしても、もう戒名あるし (笑)。
