千葉県千葉市の加藤歯科・歯科医・歯医者では審美治療 ・メタルフリー治療・矯正治療 ・歯周病治療・インプラントの治療を行っております。
2016.4
皆さん、いかがお過ごしでしょう?桜のシーズンです。ウチの前に雑草のように
立っている桜が初めて花をつけました。数年前から、目障りなので「処分しろ!」と
言い続けて来ましたが、花が咲くとまた微妙な気分になります。でも、この桜が大き
くなったらさらに処分に困るよね・・・。下の「ひとこと93」に書いた旅行から
帰って、久しぶりにカゼを引きました。2日ほど経って、ほぼ治りかけで行ったゴル
フの練習日が寒くて、また悪化しました。私の友達はなぜか「スーパーマン」のよう
な人が多く、彼らは休みを取ることを知らず、他の人の数倍の仕事量を「何気なく」
やってしまいます。そのペースを凡人の私が真似すると時々身体に無理が来ます。今
回のカゼはそれが理由だと思います。まあ、カゼが治ればそんなことは忘れて、同じ
ように無理をしてしまうんですけどね・・・。(笑)
毎月すぐ横まで行っているのに、まだ行けてない重要スポットが宗像大社です。「『神宿る島』
宗像・沖の島と関連遺産群を世界遺産に」という運動があります(HPがあります)。JR鹿児島本線
小倉方面、福岡から30分ほどの赤間駅前にある歯科医院が毎月通うセミナー会場です。夜10時に
セミナーが終わって、そのまま隣の居酒屋で宴会して、その後駅前の立派な(笑)赤間ステーション
ホテルに宿泊です。翌朝そのまま宗像大社に行こうと思っていたんですが、雨です。予定を変更し
て、いったん福岡に戻り、昔から気になっていたけど、ずーっと行けなかった福岡市博物館に行きま
した。ここにある有名な国宝は漢委奴国王の「金印」と黒田節で有名な槍
「日本号」です。金印は歴史の教科書には必ず登場します。「後漢書」の東夷
傳に「印綬を光武帝が建武中元2年(57年)に朝賀使に賜った」という記述
があり、「これがその金印です」という話です。当然「1600年間どこにあっ
たんだ!」「偽物だろ!」という説もおおくありますが、そこは各自研究し
てください。(笑)この金印がここの博物館のメインです。小さなハンコで
すが、実物を見ると印象が変わりますよ。あとの展示物は地下鉄を掘ったと
きに出土した品々、昔の平和台球場の下の遺跡である鴻臚館の話など展示が
あります。もう一つの目的は「日本号」です。一昨年の大河ドラマ「軍師勘兵
衛」の家来である母里友信が、黒田長政の使いで福島正則のところに行くこ
とになりました。長政は酒の席での間違いが起こることを恐れ、母里に勧め
られても飲むことを禁じます。行ってみるとすでに酔っていた正則は、酒の勧
めを断る友信に「黒田の者はこれしきの酒も飲めぬのか」と執拗に酒を勧め
「この大盃を飲み干せば、何でも褒美を取らす」と言ったため、ある意味で
主命に逆らうことになりますが、覚悟を決めて酒を飲み干し、褒美に日本号
を貰って来たというお話です。その逸話が「黒田節」として唄われたわけです。千葉生まれの私も子
供の頃に意味不明で唄ったことがありますからね。(笑)槍自体も非常にキレイです。刃長が80
cmほどもあり、倶利伽羅龍の浮き彫りが見事です。今回展示はありませんでした
が、信長から貰った太刀「へしきり長谷部」も所蔵品です。
ちょうど昼前になったので、吉塚うなぎを食べに中洲川端へ地下鉄で移動です。
大学時代同じアパートに住んでいた博多人が「うなぎは吉塚に限る!」と彼の爺さ
んに言われ続けたと聞いたからでもあります。(笑)行くといつも大混雑です。美
味しいけど、まあ、普通のうなぎです。博多駅から再度小倉方面へ。赤間の一駅手前の東郷でおり
ます。バスは1時間に1本、タクシーで10分ほどの距離に宗像大社辺津宮があります。一般にはこ
こが北部九州で交通安全の神様になっている「宗像大社」ですが、御神体は60キロほど沖合の沖の
島そのものです。島全体が境内であり、一般の立ち入りは原則禁止です。
8万点ほどの出土品はすべ
て「国宝」です。「沖の島」の名前が一般人の歴史に登場するのは日露戦
争の時の日本海海戦でしょう。駅からタクシーで田舎道を走って、宝物殿
の前で下車。その横に「高宮」と呼ばれる場所が神様が降りてきたところ
だそうで、行ってみました。10月3日に大祭があるようです。一番古い場
所から一番新しい大社へ裏道を歩いて行きました。本殿で御札を手に入れ
て、表に出てビックリ。豪華な礼拝所と広大な駐車場。しかし、タクシー
乗り場はナシ。みんな車で来るんだよね・・。遠くに見えたタクシー会社
に行って、「タクシー1台お願いします。」って言って、待つこと15分。
ようやくタクシーが1台、近所(笑)のホテルからやって来ました。10
分で駅に着いたら、タイミング良く来た小倉行き快速に乗って、折尾ま
で。そこで特急に乗り換えて大分へ。約1時間半で着きます。途中、宇佐
神宮もあるんだけど、寄ってるとフグを食べ損なうので、パス。昔、行っ
たことあるし。大分駅ビルの屋上に新しくオープンした展望温泉へ行って
みました。入浴料1500円です。都会から行った人をターゲットにした価
格設定でしょうね。私は半分九州人なんで、ちょっと高いと感じます。別
府、湯布院などの温泉地経由で行ったなら、残念ながら泉質はイマイチと
感じるでしょう。しかし、眺めは最高です。別府は後ろが山だから、海方
向しか見えません。由布岳、久住山方向も見えますんで、ここはかなり眺
めが良いです。それと、カフェバーが中にあるんで、ビール飲んでから温泉に入
り、サウナのあとにビール飲んで、温泉に入るなどという不健康な使い方もでき
ます。(笑)お風呂でスッキリした後で、フグです。フグ料理は好みがいろいろ
あると思いますが、私はフグ刺し、唐揚げ、白子があればOKです。鍋は美味しい
けど、もう食べきれません。大分では「肝」がフグ刺しに付いてます。どういう
加工をしたものなかのよくわからんですが、血抜きして加熱しているようです。他県ではどういう形
にしろ、肝は提供できません。有名なお店の系列店でも東京じゃ食べられません。(笑)
翌日は家内の両親と車で嬉野温泉へ行きました。高速で大分から1本です。途中、吉野ヶ里遺跡へ
行きました。九州北西部で寄るところはあまりないので、修学旅行では必ず行く
名所です。1980年代に工業団地計画が持ち上がり、本格的な調査が始まり、大
規模な遺跡が発見され、公園として整備されました。
まあ、1回は行ってみても
良いかな。かわいそうにウチの次男は修学旅行、友達との長崎旅行、今回と3回
も行くことになりました。(笑)弥生時代には定住農耕が行われていたわけで、
当然周囲のムラとのいさかいがあり、環濠で城郭化されています。
日本の100名
城(88番)に選定されているようです。嬉野温泉ではさっそく宿に行き、温泉三昧でした。夕飯は
米寿のお祝いです。立派な和食でした。翌日は有田に行って、東日本大震災でお気に入りの大半が割
れた自宅のお皿を買い足し、焼き物屋の並ぶ通りを散策しました。1個欲しいのがありました。今
回の「国宝の旅」にふさわしい青木龍山という人間国宝が作った「ぐい呑み」が12万円!天目の
素晴らしい器でした。欲しい!!人間国宝って順番が来ればなれるものじゃないからね。なりたく
てセコい様を見せている某落語家は、カッコ悪さは「国宝」級でしょう・・・。(笑)
2ヶ月に1回、マジメにバイオレゾナンス医学会に行っています。5年も通っているのにメインの 機械(ゼロサーチ)を動かすことができない劣等生のままです。自分の口腔内に矯正のワイヤーが 入っていた時は、ワイヤー(金属)の存在を機械が動かない言い訳にしていました。早く自分の矯 正治療を終わらせるべく、福岡まで通っているんですが、途中で放置されています。矯正のワイヤー は今のところ外しているんで、もしもワイヤーが原因ならば、ゼロサーチは動かないといけないんだ けど全く動きません。なぜなのかな?たぶん、まだまだ心の深いところで怪しい系を否定する感情 があるのかもしれません。(笑)劣等生でも5年も顔を出しているとほとんどの先生とは顔なじみ になります。中には患者さんを送ってくれる先生もいて、とてもありがたいです。ただ、送られてく る患者さんはかなりヘビーな方ばかりです・・・。
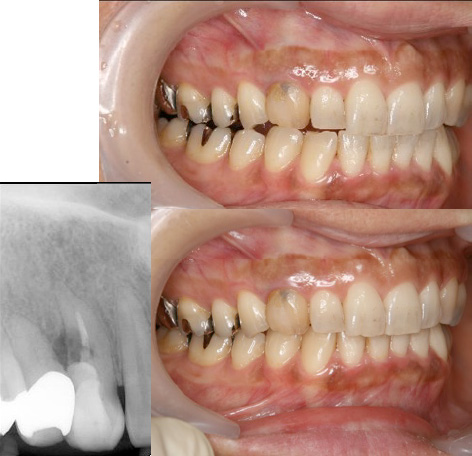
御紹介で乳ガンの患者さんがみえました。すでに部分切除して、抗がん剤を勧められたそうです。
しかし、彼女は抗がん剤を使うのがイヤで、バイオレゾナンス経由ルートでうちにやってきました。
バイオレゾナンスの紹介状を見ると根尖病巣、銀歯、歯周病とあって、右上のところに「歯科薬」と
ありました。レントゲンを撮ってみると、上の左右奥歯に根尖病巣があります。銀歯は多数。そし
て、なぜか右上犬歯の神経が取ってありました。普通であれば犬歯は一番最後まで残る歯です。根が
長くてエナメル質が厚くて虫歯にはなりにくい。なぜ神経を取ったのか?本人は記憶してませんが、
たぶん「痛い!」と歯医者に言ったからじゃないかな?言われなければ、さすがにヤブ医者でも犬
歯の神経は取りません。でも、悲しいかな、歯医者は「歯の痛み」=「神経を取る」って条件反射
のように神経を取る先生が多いんです。じゃあ、なぜ、痛かったの?それは噛み合わせが悪いからな
んです。右上の写真はスタッフが何気なく「歯を合わせてください」と言って撮った写真です。記録
としては下のように奥歯が噛み合った写真を撮るんですが、筋肉が楽
な位置(無意識に合わせた位置)は噛み合ってません。無理に噛もう
とすると、下の写真のように下顎をもっと後ろに持って行かないとい
けないんです。虫歯じゃないのに歯が痛くなって、神経を取った経験
のある方も多いでしょう。噛み合わせ位置が悪いと余計な力が歯に加
わり、痛みが出たり、歯が欠けたり、ヒビが入ったりしま
す。その結果、神経を取ったり、抜歯になります。
数年前に噛み合わせの学会の帰り道に後輩が「先生、噛
み合わせを治したら、オッパイのシコリがなくなった患者
さんがいるんですよ。本人は気になっていたけど検診でいつ
も良性と診断されていたので、様子見していたそうなんです
けど・・。」今回、その話を思い出して後輩にメールしま
した。そのシコリの患者さんは定期検診に見えていて、その
後は全く問題なく、シコリの再発もないそうです。リンパの
流れは口腔周囲から乳腺に行くルートがあるんでしょう。噛み合わせが良くなって、リンパの流れが
整って、シコリが消えた患者さんがいる一方で、その流れに乗って薬剤が長い期間乳腺にやってき
て、変なモノになったんですかね?「風が吹くと桶屋が儲かる」的に「噛み合わせが悪いと○○に
なる!」って。大きな声じゃ言えないね。(笑)
その昔、バイオレゾナンス医学会のお医者さんが「今のままの保険中心の歯科治療が続くかぎ
り、医者は仕事が無くなることはない」と言ってましたが、間違いじゃないでしょうね。歯医者は
虫歯を治したつもりになって身体にあまり望ましくない銀歯を入れる。保険の金属じゃ適合も悪い
から隙間から虫歯になって、痛みが出れば神経を取る。噛み合わせが悪くて歯が痛くなっても神経
を取る。いい加減な根の治療をしておけば根尖病巣ができるし、痛みも出て再治療になります。
どうしてそんなに根の治療が上手くいかな
いのか?下手くそな歯医者がいるのは事実で
すが、それだけが理由じゃないと思います。
日本でもアメリカでも人間がやる仕事なの
に、日本ではロボットにやらせるよりも低い
報酬しか払わない保険にも原因があるんじゃ
ないかと思います。右の図はフィリピン、マ
レーシア、アメリカ、日本の大臼歯の抜髄
(神経を取る処置)の治療費とマクドナルド
のバリューセット100食との比較です。今さ
らながら、どうしてこういう価格設定で日本
の歯科医師が治療をやっているのか意味不明
です。(笑)近頃は日本でも歯内療法(根の治療)専門医として独立して、自費だけでやっている先
生も増えてきました。私も歯周病専門医なんで、歯周病だけを自費でやるという選択肢もありました
が、今から25年前ではちょっと無理でしたね・・・。その後、「インプラント」に「噛み合わ
せ」に「機能矯正」に「バイオレゾナンス」に「審美歯科」と「ネタ」を増やしすぎて、歯周病専門
医には戻れなくなりました。(笑)図のアメリカ14万円というのは一般歯科医の値段でしょう。
専門医はもっと高額です。高額ですが、非常にシビアに価格設定されています。その理由は民間保険
会社との契約です。あちらの医療費は全額自費ですが、治療費の半分以上は保険会社が負担します。
患者個人が医療保険会社と個別に負担割合を契約するわけです。ですから、治療の予後がデータと
して管理されていて、予後が悪い先生の受け取る治療費は下がっていき、予後が素晴らしい先生の治
療費は値上がりします。なぜならば、保険会社は患者から掛け金を集めているわけです。治療回数が
少ない先生(予後が良い先生)の方が会社としては望ましいですから、1件当たりは高額な報酬に
なります。あー、羨ましい。うちの定期検診を受けている人で、歯周病が原因の年間抜歯総数って、
何本かわかります?たぶん4〜5本です。 定期検診に来ている人の総数ですよ。 もし、アメリカと
同じシステムなら、なくなった本数にインプラントの代金が掛け合わされた金額が保険会社の支払
いになるわけですから、少ないことにどれだけ意味があるかわかるでしょう。あー・・あまりそう
いう話を書くと、日本でマジメに保険治療することがミジメになってくるねぇ・・・。

