千葉県千葉市の加藤歯科・歯科医・歯医者では審美治療 ・メタルフリー治療・矯正治療 ・歯周病治療・インプラントの治療を行っております。
2015.12
皆さん、いかがお過ごしでしょう?あと1ヶ月で平成27年も終わりです。ここ数年、この時期には
カレンダー作りをしています。ほぼ年中行事となっていますので、プリンターのインクを買い足し
に行くんですが、黄色と青を他の色の倍量買います。家内の実家のある大分市は冬でも温暖で、一
年中、葉が緑。結果として、緑色の絵ばかりになります。(笑)
雪景色がなく、四季の彩りに欠けますが、瀬戸内海性気候なので
非常に温暖で、温泉に恵まれ、海の幸がいっぱい。船からの釣り
でかなりの高級魚が釣れます。「関アジ」までいきませんが、か
なり美味しいはずです。大分市の隣の別府に住めばお風呂は温
泉。毎日温泉三昧です。当然ゴルフ場も近くにあります。近頃は
高速道も開通し、福岡へも宮崎へも繋がりました。空港はちょっ
と遠いですが、便数も多く、問題はありません。ハッピーリタイ
アするには最高な場所ですが・・・、まあ、無理だな・・・。
5月から毎月、矯正のセミナーで福岡まで行っています。矯正以外にもいろいろあって10月は3
回、11月も2回福岡に行きました。福岡に別宅とか、よほど何か良いことがあるんじゃないかと疑
われても仕方ないぐらいの頻度です。(笑)面白い事じゃないけど「何か良いこと」はあります。や
はり、自分が知らないことを知ることは楽しいです。すでに歯医者として30年近く生業としてきま
したが、まだまだ知らないことが多い。知識不足であることは自覚していますから、セミナーに行
くんですよね。
近頃うちの歯医者に来てくれる患者さんは、ネットで検索して来てくれる方が多いです。近所の大
きな歯科病院からも患者さんが流れて来ます。とっても失礼な言い方ですが、ウチの方が歯医者とし
てはまだマシだと思います。その理由は、自分が「知ってないこと」を知っているからね。(笑)
そういう私も12年前までは同じ穴のムジナでした。たまたま同級生がセミナーをやっているらし
いから聞きに行こうということになってK-7(咬合診断器)を知り、噛み合わせの世界を覗くように
なりました。20年近く開業している歯医者が「噛み合わせの世界を覗く」って変だと思うでしょ。
でも、悲しいけど現実です。うちのHPには噛み合わせのページがあります。「噛み合わせ治療は自
費です!」って書いてあるから、来院に歯止めが掛かっていますが、見ている人はとても多いです。
先日埼玉から歯科衛生士さんが来院されました。とっても若くてキレイな方でした。スタイルも
良いし「若さが弾けています!」って書きたいけど、彼女には悩
みがあるんです。「歯ぎしり食いしばりがひどく、肩こりもひど
い」んです。業界人ですから、勤め先も歯医者です。院長先生に
は「矯正でもやれば?」と言われるそうです。もしも、彼女の歯
並びがガタガタならば「とりあえず矯正してみる」はアリでしょ
う。ついでに見た目も整うからね。でも彼女はキレイな歯並び
をしています。前歯が歯ぎしりで短くなっているけど・・。し
かし、「矯正」すればすべてOKなんでしょうか?その前にホ
ントに矯正すれば彼女の主訴は治るんでしょうか???やって
みてダメなら「ああ、治らなかったね。」って2年後に言われ
るんですか?本来楽しく輝くはずの20代のうちの2年間を矯正
装置を付けて過ごして、それが無駄になる?ありえないで
しょ。
No.56で「HPはしばらく変えませんが、私が見て問題がありそうな人にはコソッとお薦めしま
す」と書いた治療器具(いちおうバイトプレートと呼んでいます)を結局は多くの方に装着していま
す。(笑)上に書いた衛生士さんはHP経由ですが、そうじゃない人、たとえば主訴が歯の痛みや歯
周病、歯の欠損などにも取り付けてます。「なんだ、噛み合わせと関係ないじゃないか!」と思う
でしょうが、残念ながらホントの原因は噛み合わせなんです。全く虫歯も歯周病もなくて歯が痛いな
ら、原因はそこじゃないよね。知覚過敏で歯が痛いことはあり
ます。でも、どうして知覚過敏になったんですか?歯磨き粉っ
て言いますけど、ホント?その歯が強く当たっているからじゃ
ないですか?無理な力が掛かって、歯茎部のエナメル質が割れ
たんじゃない?歯がしみるから、虫歯だと思って歯磨き粉を
いっぱい付けて磨いたりしてません?歯磨き粉は虫歯治療薬
じゃないんですけどね・・。(笑)
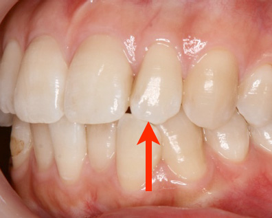
右の写真は矢印のところで強く当たっていました。その結
果、いつの間にか神経が死んで、根の先に病巣ができていま
す。幸い、痛みは自覚していませんでした。虫歯が原因であろ
うが、噛み合わせが原因であろうが、痛みは同じです。両方とも神経を取れ
ば痛くなくなります。麻酔してキレイに神経取って、銀歯被せて、患者さん
の主訴に沿った完璧な保険治療が終わりました。でも歯って神経を取ると脆
くなるんですよ。だから簡単に割れちゃいます。歯が割れたら抜歯以外に方
法はありません。その後は入れ歯?インプラント??歯が痛いという理由で
歯医者に 行くことはかなり大きな「賭け」ということになります。行った歯
医者が神経を取るか、取らないか!?
「じゃあ、お前はどうするんだ?」という声が聞こえてきます。当然です
が、昔はそんなこと知らないから、神経取ってました。だって、主訴ですか
ら・・・。でも、今は患者さんに説明して、とりあえずバイトプレートを入
れます。だって、神経取ったら二度と戻れませんからね。さあ、どうなるで
しょう?あら不思議、歯の痛みはなくなりました。良かったですね!これで
もう安心・・・。あれ??でも、バイトプレート使わなくなったら、また歯が痛くなったよ!!
えっ!!どういうこと??実は、これでより大きな問題がハッキリしてしまいました。噛み合わせの
位置を変えないとまた歯が強く当たって、歯の痛みが再発することがわかったんです。歯の痛みだけ
じゃなく、めまい腰痛で長年整形外科や脳神経外科に通っていた人がバイトプレートで良くなってし
まいました。その女性は審美的には歯並びが悪いわけじゃありません。噛み合わせの位置がずれて
いるだけ。矯正治療は自費ですから、80万円かかることがハッキリしました。うーん、もしかした
ら、ホントのことを知らない方が幸せだったんじゃない?悩みますよ
ね。「もっと若い頃に言ってよ!」って、言われても困ります。もし
も、歯並びが悪くて、頭痛腰痛持ちで、年齢が若ければ矯正治療はホ
ントにお得ということです。でも、そういう人も、いずれ歯が痛くな
れば神経取って、歯が割れて、ブリッジになって、入れ歯かインプラ
ントで悩みはじめます。負のスパイラルに突入です。(笑)
患者さんにとって良いことと思って始めたバイトプレートでした
が、逆に多くの悩める患者を作り出してしまいました。これからは問
診票に「あなたは真実が知りたいですか?」って入れないといけない
のかな??また、怪しさが増してしまう・・・。

